Rechercher

Actualité
Mélanome de l’Å“il, l’espoir de nouvelles thérapies

Pour la première fois, une stratégie de thérapie cellulaire à  base de lymphocytes T reprogrammés a montré des signes encourageants d’efficacité dans une tumeur solide, expose un essai présenté au grand congrès de la Société européenne d’oncologie...


Émilie delvoye, directrice des communications chez prompt, reçoit fahima nekka, professeure à  la faculté de pharmacie de l’université de montréal, qui mène un projet de recherche en pharmacométrie avec l’appui de prompt et de partenaires industriels....
Actualité
"J'ai dansé avec lui et il m'a chanté Hakuna matata" : à Montpellier, un robot pour distraire et...

C'est une première mondiale : le premier robot humanoïde qui intervient dans un hôpital. Miroki accompagne les enfants malades dans le service d'oncologie pédiatrique de l'Institut du Cancer de Montpellier.


Startup
Kyron.bio veut développer des médicaments pour lutter contre les cancers

L’article Kyron.bio veut développer des médicaments pour lutter contre les cancers est apparu en premier sur Maddyness - Le média pour comprendre l'économie de demain.


Arnaud naudan reçoit faustine aussedat-bouvier, co-fondatrice et ceo de jinko, la startup qui révolutionne l'accompagnement des patients atteints du cancer.ensemble, ils reviennent sur son parcours, de ses débuts dans les télécoms chez orange avant d'embrasser l'entrepreneuriat en rejoignant...
49:53 BDO France
L’actrice belge Émilie dequenne est décédée le 16 mars 2025 à l’âge de 43 ans, après une lutte contre un cancer rare de la glande surrénale. révélée en 1999 dans “rosetta” des frères dardenne, rôle qui lui avait valu le prix d’interprétation féminine à cannes, elle...
00:15:27 BFMTV
Le cancer touche 400.000 personnes chaque année, un nombre qui a doublé en 30 ans. en cause, le vieillissement de la population et les avancées de la médecine qui permettent de mieux diagnostiquer la maladie. prévention, dépistage, efficacité des nouveaux traitements... l'intelligence...
00:25:04 BFMTV
Star & People
Kate Middleton: la princesse se dit \"soulagée d\'être en rémission\" de son cancer

En visite au Royal Marsden Hospital, spécialisé en oncologie, la princesse de Galles s'est entretenue avec malades et des soignants. C'est là qu'elle a elle-même été traitée en 2024.


Actualité
Guerre en Ukraine. Centre d’oncologie détruit à Kherson, village capturé… Le point sur la...


Culture
"Le journal de Clémentine" peut aider à trouver des pistes de comportements" avec les...

Pour Pascal Hammel, chef du service d'oncologie digestive et médicale de l'hôpital Paul Brousse, le livre "Le journal de Clémentine", qui paraît vendredi, permet de se projeter "un peu mieux dans la peau de quelqu'un dont la vie est menacée."


Actualité
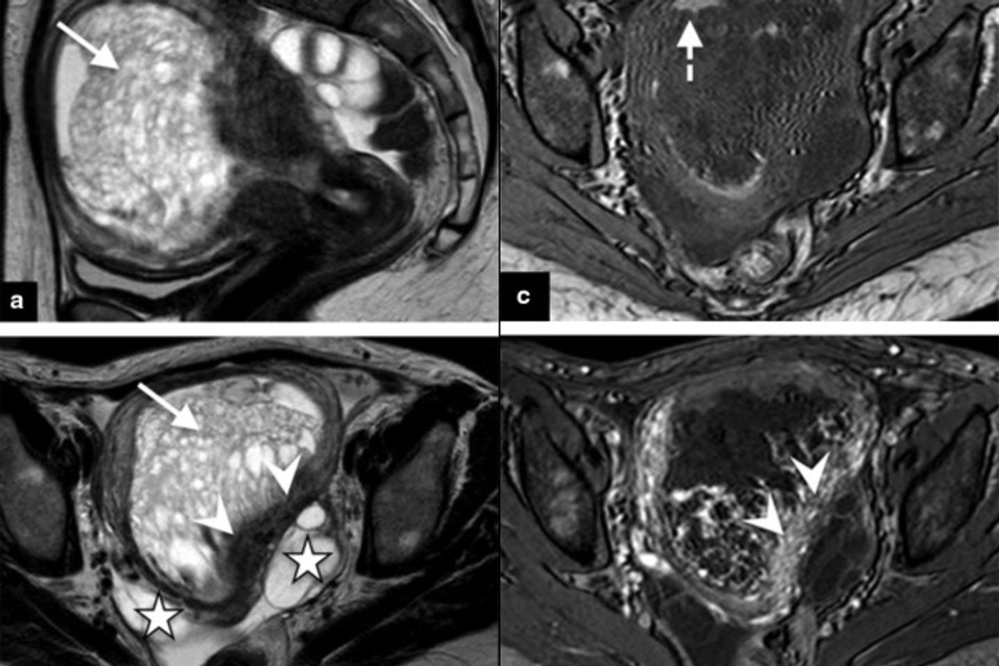
Avancée dans le traitement d???une tumeur placentaire liée à la grossesse

Un essai clinique français montre un taux de guérison important chez les femmes traitées par l???association de deux molécules contre les tumeurs trophoblastiques gestationnelles. Une découverte présentée samedi 14 septembre au congrès annuel de la Société européenne d???oncologie...


Actualité
"Une forme de révolte s'organise": colère chez Sanofi après l'abandon de la recherche contre...

Un plan social aura lieu chez l'entreprise pharmaceutique Sanofi, après l'arrêt de plusieurs projets en oncologie. 330 emplois dans la recherche et le développement devraient être supprimés en France.


Accueil
Mon Feed
Explorer
Publier
Rechercher
Tendances
Tendances
Profil
Mon espace
Groupes
Document sans nom
Lykhubs logo
Chargement en cours...